
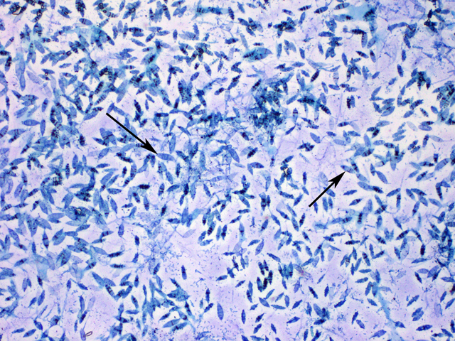
Photomicrograph of the dermatophyte Microsporum canis showing macroconidia and microconidia. .jpg by Gary E. Kaiser, Ph.D.
Professor of Microbiology,
The Community College of Baltimore County, Catonsville Campus
This work is licensed under a Creative Commons Attribution 4.0 International License.
Based on a work at http://faculty.ccbcmd.edu/~gkaiser/index.html.
Last updated: December, 2018
Please send comments and inquiries to Dr.
Gary Kaiser